Unsere P - Welpen sind auf der Welt
Wir freuen uns über zwei hell geborene Rüden und vier braun-weiße Hündinnen
Die Geburt war eine Meisterleistung von Otti - denn diese Gewichte zwischen
230g - 270g erforderten alle Kraft von ihr.
Der letzte , ein hübscher Rüde, lag quer. Er hat es trotz Kaiserschnitt
leider nicht geschafft. Wir haben Pippo im Garten begraben
Otti hat alles super überstanden. Sie ist eine hingebungsvolle Mama.
Alle Welpen sind fit. Es ist eine Freude ihnen beim Wachsen zuzuschauen! Sie haben ihr Gewicht in Woche bereits fast verdoppelt!
Mehr Bilder der ersten Woche finden Sie unter Zucht - P-Wurf
Da sind sie - bald dürfen wir sie in der Welt empfangen
Bald geht es weiter mit Bildern!
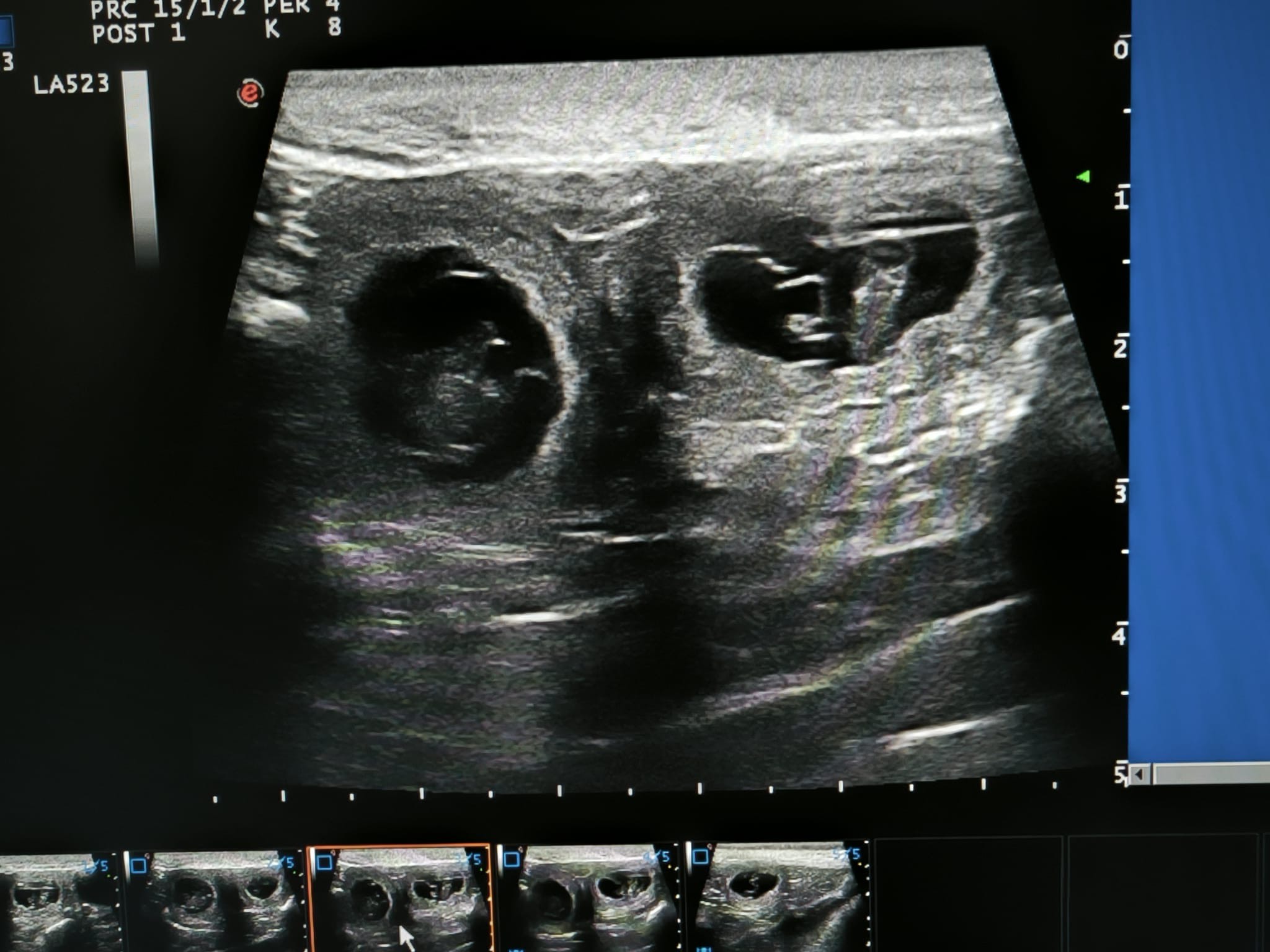
Ultraschall P-Wurf 29.1.2025
Gestern war ich mit Otti beim Ultraschall. Wir konnten erfreulich viele Anlagen sehen und freuen uns auf einen gute Welpen-Zahl. :-)
Interessenten sind willkommen!
Der P-Wurf von der Cookie-Box ist auf dem Weg
Früher als gedacht wurde Otti läufig und so begann das Jahr 2025 mit dem Besuch bei Rikki vom rauen Stein in der Eifel.
Rikki, genannt Jimmy vom rauen Stein, ist ein reinrassiger Kromfohrländer.
Er ist sechs Jahre alt, ein gesunder und ruhiger , freundlicher und charmanter Rüde. Dies werden seine ersten Nachkommen sein.
Der hervorragende Inzucht-Koeffizient liegt bei 0,30 %.
Beide Hunde sind genetisch getestet, mischerbig, dh. es werden sowohl Rauhaar- als hübsche Glatthaar-Welpen fallen.
Die Welpen "suchen" sich ein Fellchen aus in den Farben: braun-weiss oder tricolour (braun- weiss- schwarz).
Ottilie von der Cookie-Box ist eine liebenswerte, wirbelige und verspielte Hündin. Sie ist zwei Jahre alt und erfolgreich gesundheitlich durchgecheckt!
Sie ist eine F1 Hündin aus dem O-Wurf von der Cookie-box, der Verpaarung von KromiPaws Fast as a Shark - Lilla mit Flint, einem Dänischen Hofhund.
Sie geht offen und freundlich auf Menschen zu und ist an ihrer Umwelt neugierig interessiert.
Otti und Jimmy haben sich auf Anhieb sehr gut verstanden und so dürfen wir auf nette Welpen hoffen❣️
Für das Frühjahr 2025 ist Nachwuchs in der Cookie - Box geplant!
Ottilie von der Cookie-Box (F1) hat alle Zucht-Prüfungen bestanden, die Vorbereitung für den P-Wurf beginnen!
In NRW lernten wir die zwei Rüden kennen, die beide Otti mit ihrem sehr freundlichen Wesen überzeugen konnten! Beides sind reinrassige Kromfohrländer, wie für einen F2-Wurf erforderlich.
Bei Ottis Abstammung, 1. Generation (F1) mit Flint, dem Dänischen Hofhund, ist die Auswahl an Rüden recht groß und macht eine Entscheidung nicht leicht.
Mit den neuesten Gentests von Feragen wird die Partnerwahl sehr differenziert und komplex und ermöglicht große Fortschritte, was die Gesundheit der Hunde betrifft.
Hundezucht damit immer komplizierter und beschränkt sich nicht mehr auf Stammbäume!
Bei Pro Kromfohrländer fühle ich mich gut aufgehoben und in der Rüdenwahl sehr gut beraten.
Wer von den beiden Kandidaten zum Einsatz kommen wird entscheidet sich zu allerletzt!
Am 17.12.2022 von 8:30 Uhr - 11:45 Uhr werden alle Welpen geboren.
Wir freuen uns über acht fitte Welpen, 3 Rüden und 5 Hündinnen!
Lilla hat die Geburt super gemeistert und kümmert sich rührend nun um ihren Nachwuchs.
Die Trächtigkeit schreitet zügig voran, bald wird sich zeigen, was sich in Lilla´s Bauch entwickelt hat!
Ultraschhall Bild des O-Wurfs
Mit Freude haben wir beim Ultraschall einige Welpen gesichtet. Lilla wird ihren O-Wurf vor Weihnachten auf die Welt bringen.
Weitere Interessenten sind willkommen!
Der O-Wurf von der Cookie-Box - Winter 2022 - 2023
Nun ist es konkret geworden. Wir waren zum Decken mit Dobgun`s Feodoras Flint in Leipzig! Die beiden haben sich gut verstanden und trotz des Größenunterschieds war Flint bald erfolgreich! Da Lilla reinerbig Rauhaar vererbt, werden alle Welpen rauhaarig sein. Von Flint wird viel Farbe kommen. Ich bin sehr gespannt - was uns der Ultraschall verraten wird!
Wir sehen uns wieder im Herbst 2023
Wie immer kamen die Kromifreunde aus allen Himmelsrichtungen angereist!
Zum ersten Mal war das Wetter leider nicht so toll wie in den letzten Jahren! Also musste neu geplant werden , da auch Sonja Maier verhindert war! Wir entwarfen ein unterhaltsames Indoor-Programm mit einer kleien Einführung in "Obedience"!
Bei Kaffe und gutem Essen hatten wir viel Zeit zum Austausch mit alten und neuen Freunden!
FREUNDSCHAFTSTREFFEN - in der Kropfmühle - 1.10.2022
Liebe
Freunde!
Auch in diesem Jahr findet unser Kromfohrländer Freundestreffen statt, wie
immer in der Kropfmühle in Seewald!
Beginn / Anreise ist um 10 Uhr !
Kurze
Begrüßung der Ankommenden und schon geht's los mit Hunden und Freunden die
Füsse vertreten!
Workshop Thema ist diesmal : TEAMWORK!
Wie
können wir unsere Mensch-Hund Bindung stärken!
Ich bin gespannt auf neue, interessante Übungen zum Lernen und Verstehen von
Sonja!
Wir bitten um rechtzeitige Anmeldung für die Workshop-Teilnahme.
Unkostenbeitrag : 30 € pro Hund
Die Gruppeneinteilung wird am Eingang der Kropfmühle aushängen!
11
Uhr - 12 Uhr beginnt der erste Workshop mit Sonja
14 bis - 15 Uhr startetdie zweite Gruppe mit Sonja
Wie
immer gibt's von 12 - 14 Uhr für jeden Geschmack ein leckeres Essen à la Carte
in der Kropfmühle!
Wir freuen uns auf Euch und ein erlebnisreiches Wochenende!
Bitte um Anmeldung, auch wenn keine Workshop-Teilnahme gewünscht wird.
Mit frohen Grüßen, Ines, Maria und Christine und natürlich auch Sonja Maier!
Die Spaziergangstermine im Hexental bis zum Sommer finden am
10.4.2022 / 1.5.2022 / 19.6.2022
FREUNDSCHAFTSTREFFEN - in der Kropfmühle - 1.10.2022
Unser Kromi-Freundschaftstreffen in der Kropfmühle/ Seewald ist für den 1.10.2022 geplant.
Sonja Maier wird wieder dabei sein und ein spannendes Thema für Mensch und Hund anbieten!
Der O-Wurf mit Lilla ist für Winter 2022 - 2023 geplant!
Wahrscheinlich wird der Rüde ein Dansky Guard Hund sein.
Kromifreunde in der Kropfmühle 2021
Es ist kaum zu glauben, alle Wettervorhersagen wenden sich zum Besten.
Wir erleben ein sonniges, warmes Herbstwochenende vom Feinsten.
Achtzehn Kromis versammeln sich mit ihren Besitzern zum ersten Treffen für Kromfohrländer Freunde in der Kropfmühle in Seewald.
Außer wunderschöner Natur, gutem Essen, netten Gesprächen mit alten und neuen Bekannten hatte Sonja Maier zwei Angebote vorbereitet! Herzlichen Dank an Sonja, an ihrem Urlaubstag uns zur Verfügung zu stehen!
Für die Besitzer der Junghunde von der Ginsterwiese und der Cookie-Box ging es um Raumklärung! Denn meist haben unsere Lieblinge längst klar definiert, wer das Sagen über den Raum hat, nämlich *wuff*
Derweil schauen die „erwachsenen“ Teilnehmer vom Birkenwäldle, der Cookie-Box und Kipazin interessiert zu.
Wir lernten miteinander, dass wir unseren Hunden oft zuviel Raum überlassen oder manche Hundis schneller das Kommando übernehmen als andere, (geborenen Führer)!
Herrchen/Frauchen dürfen mit Geduld lernen wie sie ihre Hunde verstehen und führen können, wodurch Spaziergänge für alle viel entspannter werden!
Zum Thema: "Was sagt mein Hund wenn er bellt!" (für alle erwachsenen Hunde und ihre Menschen interessant) gab es sehr differenzierte Antworten für die Fragenden!
Bellen hat sehr oft damit zu tun, dass der Hund "Unordnung" erlebt. Ob nun Postbote, Türklingel, Kinderwirbel oder Strassengeräusche, oder fremde Leute auf dem Spazierweg! Kromis sind sensible Hunde und bellen schnell, wenn sie Unordnung erleben.
Mit dem Kurs-Wissen können wir Besitzer das Bellen neu interpretieren, verstehen was unserer Hund uns sagen will und können gezielt für Ordnung sorgen.
Oh je, wird sich mancher gedacht haben, aber einige Tipps und Hinweise, was der Hund als ordentlich empfindet, helfen sicher im Alltag das Bellthema einzugrenzen.
Der Ausklang bei Kaffee und herrlichem Kuchen rundete einen sehr sonnigen, entspannten, lehrreichen Tag ab.
Wir freuen uns auf ein Wiedersehen in 2022.
Die Ankündigung findet ihr auf den Privaten HP 's , von der Ginsterwiese, vom Birkenwaeldle und von der Cookie Box.












































